XxJulexX
- Weiblich
- 36
- aus Schkeuditz
- Mitglied seit 9. Juni 2011
- Letzte Aktivität:
Beiträge von XxJulexX
-
-
Gestern ist meine kleine cindy über die Regenbogenbrücke gegangen.
Nun ist sie bei ihren großen Kumpels und ohne Schmerzen.
Meine kleine Königin, wir sehen uns wieder...Run free
-
Ja das auf alle Fälle, ich achte auf Muskeln und Ernährung und rein theoretisch gesehen war für mich eine zucht nicht das wichtigste.
Nun ist es so wie es ist.
Der Tierarzt der geröngt hat, ruft den Dr. Tellheim an und fragt nach, warum sie so bewertet wurde. Bis dahin warten wir mal ab
-
Mein herzliches Beileid und ganz viel Kraft

-
erstmal vielen Dank für eure Antworten.
Ich habe mittlerweile auch mit 2 Züchtern gesprochen und beide meinen das es keine so schlechte hüfte ist.
Nichtsdestotrotz ist es jetzt so wie es ist.
Hundesport kann ich aber normal weiter machen?
Meine 1. Hündin hatte sehr schwere HD, mein damaliger rüde eine mittelschwere HD, ganz grob weiß ich noch auf was ich achten muss.
Dennoch war es echt niederschmetternd
-
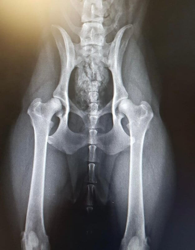
PS das Bild wurde vom Tierarzt abfotografiert
-
Hallo an alle
Es gibt ja mit Sicherheit einige unter euch, die mehr Ahnung zur Auswertung des HD-ED röntgen haben als ich.
Feli wurde von einem sv Tierarzt geröngt mit einem Ergebnis, " im schlimmsten Fall, noch zugelassen "
Heute kam das vom sv ausgewertete mit dem Ergebnis mittelgradige HD, zuchtausschluss.
Ich bin sehr überfordert, weil feli auch keinerlei Anzeichen einer D Hüfte hat.
-
Dankeschön ihr lieben ♥
-
Vielen lieben Dank

-
-
Auch von mir, mein herzliches Beileid

-
Alles anzeigen
Oh nein. Barney
- einer meiner liebsten Foren-Schäfis.

Ich tippe ich gerade heulend vor mich hin. Es tut mir soooo leid, auch wenn es bestimmt für Barney gut und richtig und mittlerweile das beste ist. Ich bin furchtbar traurig.
Ich habe mich immer so gefreut, wenn du berichtet hast, wie gut er sich immer wieder berapelt hat.Fühle dich in den Arm genommen, Jule.
Ein Lächeln für Barney
, damit er Flügel bekommt und gut über die Regenbrücke gelangt. Er wird dann dort sicher viele Freunde treffen.Ja es fiel mir so verdammt schwer. Aber nach seiner Geschichte und eben weil er gekämpft hat, ist es so das beste. Er fehlt extrem. 11 Jahre war er bei mir. Danke für die lieben Worte
-
Unser geliebter barney ist gestern über die Regenbogenbrücke gewandert.
Nach langer, schwerer Krankheit war es für ihn die beste Lösung.
Wir haben nochmal eine Runde am See gedreht, er durfte fressen was er wollte und konnte dann friedlich im eigenen Garten seinen letzten Weg gehen.
Mein lieber barney wir werden dich nie vergessen, nun kannst du mit den anderen wieder schmerzfrei toben.
Wir sehen uns wieder ❤️
-
oooh schöne Idee
Da bin ich dabei