HD Rötngen Auswertung

  • Hallo an alle


    Es gibt ja mit Sicherheit einige unter euch, die mehr Ahnung zur Auswertung des HD-ED röntgen haben als ich.


    Feli wurde von einem sv Tierarzt geröngt mit einem Ergebnis, " im schlimmsten Fall, noch zugelassen "


    Heute kam das vom sv ausgewertete mit dem Ergebnis mittelgradige HD, zuchtausschluss.


    Ich bin sehr überfordert, weil feli auch keinerlei Anzeichen einer D Hüfte hat.


  • Mit dem analysieren von Hüften tue ich mir schwer, aber aus meiner persönlichen Erfahrung kann ich sagen:

    was der Dr. Tellhelm beurteilt stimmt auch.


    Er ist so unglaublich erfahren und macht das schon seit Jahrzehnten in einem Ausmaß, da kommt kein normaler TA auch nur annähernd dran.


    Ist zwar ED, aber macht im Prinzip keinen Unterschied:

    Bei meinem A.J. damals meinte mein TA auch "alles in bester Ordnung". Vom SV kam dann die Zuchtsperre und der Befund "ED mittel". Ich fiel aus allen Wolken, wollte es auch nicht glauben und ließ A.J. nochmal in einer Uniklinik röntgen und auch ins CT schieben. Und dort hat sich dann der Befund von Dr. Tellhelm aber tatsächlich bestätigt.

    Der Typ hat Adleraugen und einen unheimlich großen Erfahrungsschatz.


    Natürlich ist das für dich nun ein totaler Hammer und es tut mir sehr leid. So einen Befund will keiner haben... aber glauben würde ich ihm das schon.


    Es kann sehr gut sein, dass deine Hündin keinerlei Anzeichen oder Symptome zeigt. Kommt ja auch immer drauf an, was genau zur Abstufung der Hüfte geführt hat. Bei der Hüfte kann der Hund auch besser ausgleichen als beim Ellenbogen z.B.

    Wenn sie zudem aktiv und gut bemuskelt ist, kann es sehr gut sein, dass sie nie oder wirklich erst im ganz hohen Alter Probleme haben wird damit (was ich euch von Herzen wünsche!) :) <3

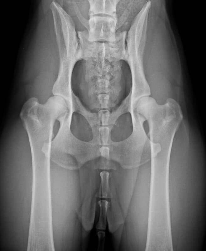
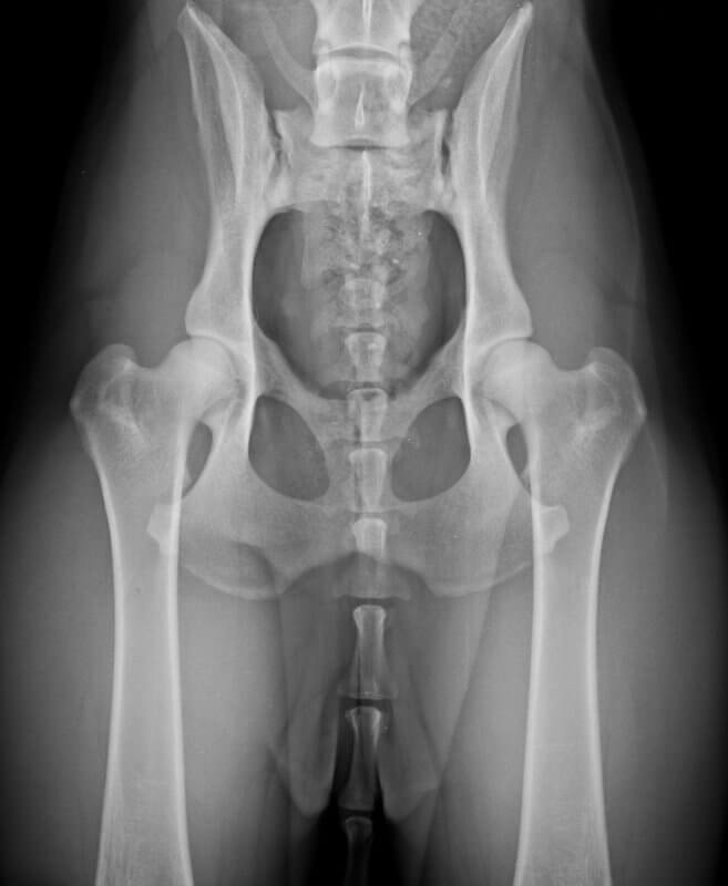
  • So richtig beurteilen kann man das nur wenn die Auswertungsschablone auf die Aufnahme gelegt wird, denn u.a. ist ausschlaggebend wie tief die Hüftkugeln in den Pfannen drin sitzen. Wenn man nur mit dem bloßen Auge schaut kann man sich da manchmal täuschen. Da vertut sich sogar Dr. Tellhelm manchmal bezüglich der Beurteilung des Norberg-Winkels mit bloßem Auge und muss seine erste Aussage korrigieren sobald er die Schablone angelegt hat.


    Ich hänge Dir mal ein Bild einer "normalen" Hüfte an. Du kannst dann auf der Aufnahme Deines Hundes besser erkennen wo die Schwachstellen liegen. So sitzen die Hüftkugeln nicht so tief in den Pfannen drin wie bei einer "normalen" Hüfte. Dadurch ergibt sich dann ein schlechterer ( = geringerer) Norberg-Winkel und ein größerer Gelenkspalt. Die Konturen/Ränder von Pfannen und Kugeln bilden sich bei einer "normalen" Hüfte scharf ab, Pfannen und Kugeln sollten gleichmäßig und "deckungsgleich" ( = kongruent) ausgebildet sein. Bei der Aufnahme Deines Hundes erkennt man vor allem rechts dass sich die Konturen nicht scharf abzeichnen sowie Kugel und Pfanne nicht gleichmäßig und kongruent ausgebildet sind.


    Die Qualität der Abbildung lässt jetzt keine Aussage zu ob sich am Hüftgelenk evtl. bereits irgendwo eine beginnende Arthrose zeigt. Auch das kann zu einer Abstufung führen. Die Nuancen liegen dabei aber im Millimeterbereich, so dass man das nur auf der Originalaufnahme beurteilen können wird.




    Es gibt immer wieder Fälle die im Grenzbereich zwischen zwei Befundstufen liegen. I.d.R. ist dann das Ergebnis der korrekteren Auswertung das richtige. Dr. Tellhelm nimmt sich für jede Auswertung viel Zeit und analysiert ggf. auch Vergrößerungen der Bilder.


    Ob dein Hund früher oder später Symptome einer HD zeigen wird hängt auch mit davon ab wie er gefüttert und trainiert wird. Ich würde darauf achten dass er eine gute Muskulatur besitzt und nicht zu schwer wird (also angepasst füttern). Zudem würde ich persönlich täglich Kollagenhydrolysat plus Ziegenmilch (oder Molke) plus eine natürliche Vit. C-Quelle (z.B. Hagebutte oder Apfel) verfüttern. Die Wahrscheinlichkeit dass ein Hund mit einer derartigen Hüfte bei vernünftiger Fütterung und Bewegung plus einer optimalen Nährstoffversorgung (im Hinblick auf die Aminosäuren, die für den Knorpelaufbau am Gelenk wichtig sind) zeitlebens symptomlos bleibt ist relativ groß.

  • erstmal vielen Dank für eure Antworten.


    Ich habe mittlerweile auch mit 2 Züchtern gesprochen und beide meinen das es keine so schlechte hüfte ist.


    Nichtsdestotrotz ist es jetzt so wie es ist.

    Hundesport kann ich aber normal weiter machen?


    Meine 1. Hündin hatte sehr schwere HD, mein damaliger rüde eine mittelschwere HD, ganz grob weiß ich noch auf was ich achten muss.


    Dennoch war es echt niederschmetternd

  • Du musst bedenken dass es sich bei der Auswertung einer solchen Hüfte vor allem darum dreht ob ein Hund mit so einer Hüfte in die Zucht kommt oder nicht. Und da tendiert Dt. Tellhelm dazu (und das halte ich für völlig richtig, und viele andere Gutachter agieren da genau so) lieber einen Hund zu viel aus der Zucht zu nehmen als einen zu wenig. Sprich in den Grenzbereichen zwischen den anderen Befunden ist es nicht so schlimm, zuchthygienisch gesehen, wenn einmal zu viel der bessere Befund erteilt wird. Weil da geht es nicht um "Zuchtzulassung: ja" oder "Zuchtzulassung: nein". Aber die Abgrenzung zwischen leichter HD ( = beim DSH Zuchtzulassung möglich) und mittlerer HD ( = Zuchtausschluss) ist für die Zucht halt wirklich wichtig.


    Von daher: Mit der Hüfte kann ein Hund problemlos alt werden und sein Leben lang Spaß haben. Und es macht noch mal einen Unterschied ob es sich z.B. um eine kleine bis mittelgroße Hündin handelt mit einem Gewicht zwischen 23 bis 28 kg oder um einen 67er Rüden mit 45 kg. Viele kleinere bis mittelgroße Rassen haben fast nur solche Hüften und bei denen treten so gut wie nie HD-Symptome auf (weswegen sie für die Zuchtzulassung nicht HD-geröngt werden müssen).


    Ich würde halt trotzdem darauf achten dass der Hund eine gute Muskulatur aufbaut und in Bezug auf die für den Knorpelaufbau wichtigen Aminosäuren ausreichend futtertechnisch versorgt wird. Und ansonsten den Hund Hund sein lassen und den Hundesport mit ihm betreiben den er und ich möchten.

  • Ja das auf alle Fälle, ich achte auf Muskeln und Ernährung und rein theoretisch gesehen war für mich eine zucht nicht das wichtigste.


    Nun ist es so wie es ist.

    Der Tierarzt der geröngt hat, ruft den Dr. Tellheim an und fragt nach, warum sie so bewertet wurde. Bis dahin warten wir mal ab