Das schlimmste überstanden.Und alles hört sich richtig gut an
Die paar Wochen bis alles verheilt ist, gehen auch recht schnell vorbei. Und dann darf er rum wirbeln ![]()
Schäferhund - Humpeln nach Sturz
-
-
Super, dass die op gut verlaufen ist. Jetzt heißt es Geduld. Ich wünsche euch alles Gute
-
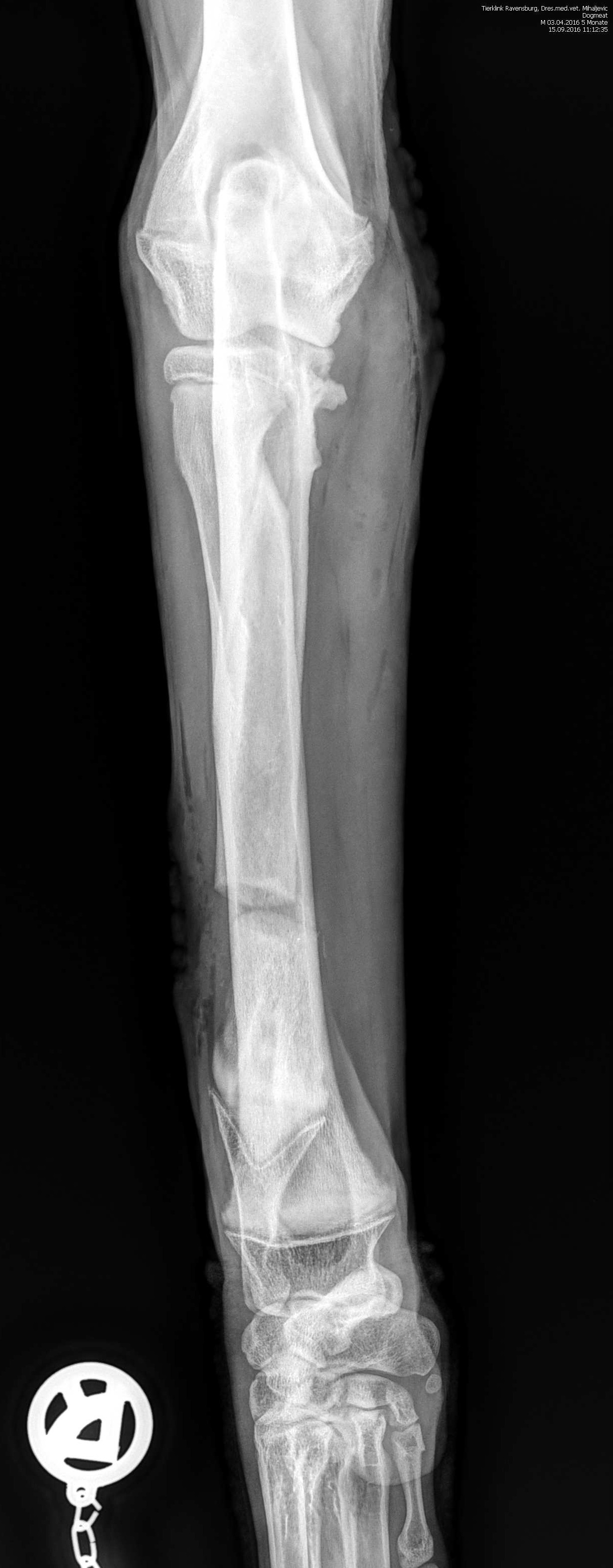
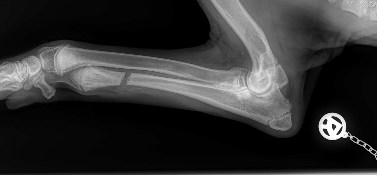
Sooo habe nun auch die Nachher Bilder ich stelle nochmal beide rein also vorher und nachher.
Da sieht man schön den Knochenbruch der Ulnaresektionsosteotomie. Sind aber wohl unterschiedliche Postionen vor und nach der OP der Aufnahmen
Und er ist schon wieder so wild, der würde rennen und springen
. ist ja eigentlich gut das er so fit ist aber das wird eine Anstrengende Zeit nun.
Hat sich gestern sicher 4 mal auf das operierte Bein fallen lassen, gejault beim hinlegen und auch in der Nacht immer mal wieder gefiept beim umlegen
Mittlerweile legt er sich anders hin
Heute ist es auch schon viel besser mit dem jaulen er macht gar nix mehr
-
hab mir die Bilder jetzt nebeneinander sehr groß angesehen - und verstehe nur Bahnhof
kann das Problem von Vorher am Gelenk nicht erkennen. Der Ellen-Schnitt (Verlängerung wird doch gemacht um dem Gelenk mehr Spalt zu geben ...? -
Auf dem oberen Bild sieht man deutlich das Fragment auf der rechten Seite das entfernt wurde. Selber am Gelenk hab ich es auch nur mit der Unterstützung vom Arzt gesehen. Also bei den seitlichen Aufnahmen da erkenne ich ohne Anleitung auch nichts. Die ct Aufnahmen checkt man auch nur mit Arzt Erklärung

Edit: Kennt jemand pflanzliche Beruhigungsmittel wie bachblüten oder ähnliches? Der Kerl ist schon jetzt kaum ruhig zu bekommen . Der schont sich absolut nicht von alleine. Ich hab keine Ahnung wie es die nächsten wochen klappen soll
klar mache ich Kopfarbeit wir clickern schon länger und zos haben wir angefangen aber ich hab das Gefühl teilweise dreht er dadurch körperlich auf.
Das gute ist wenn er schläft dan wirklich mehrere Stunden am Stück. -
also wenn irgendwer irgendwas weiss womit man ihn wenigstens ein bisschen ruhiger bekommt wäre ich sehr dankbar.
Es ist momentan eine einzige Katastrophe. Egal ob mit Kopfarbeit oder ohne.
Er bellt wegen allem teilweise macht er um 5 in der Früh schon Randale. Er will überall drauf springen rennt bellt usw.
Er nervt permanent und ich kann ihm nicht mal eine Auszeit verpassen weil er dann wie Bekloppt bellt und rumspringt im zimmer.Alles umsonst die ganze scheiss Ruhe Haltung macht alles kaputt.
Bin momentan echt verzweifelt weil ich nicht weiss wie ich ihn teilweise in der Früh ruhig bekommen soll ich kann ihn ja nicht Bellen lassen so früh oder am späten Abend. Da haben die Nachbarn sicher keine Lust drauf und ich auch nicht
-
Das ist echt schwierig, schläft er in einer Box? Wenn ja mit etwas zum knabbern immer wieder dort drin versuchen ruhig zu bekommen. Ganz wichtig ist auch, dass du totale Ruhe ausstrahlst. Ist sicher schwer. Je nachdem was du fütterst, nicht mehr aus der Schüssel geben sondern suchen lassen.
Das ist auf jeden Fall eine schwierige Zeit, ich wünsche dir viel Erfolg dabei. -
jetzt weis ich nicht wie das Bein aussieht - in einer Schiene?
wenn man es hochbindet, so daß er nur auf 3 Beinen steht, dann kann er auch auf 3 Beinen laufen - er darf ja nur nicht das kranke Bein belasten ....
Tiere können in der Regel sehr schnell mit einem handycab umgehen -
Guten morgen, ich weiß wie Nervenzerrend das ist. Sind ja selber noch mittendrin. Lucy ist ja nun auch sehr fit und darf immer noch nicht so wie sie gern möchte. Hatte auch nicht gedacht das so ein Beinbruch soooooo lange dauert.Wir machen Suchspiele ohne ende, oder ich hole das Intelligenzspielzeug raus. Da sie aber auch wirbeln will und nicht immer mit Ruhe suchen und spielen möchte, jammert sie uns den ganzen Tag die Ohren voll. Auch unsere Gassigänge Gänge verlaufen schwierig. Sie will unbedingt zu anderen Hunden und mit denen toben. an der Leine dreht sie dann völlig am Rad und lässt sich auch schwerlich ablenken.
Mit Bachblüten kenne ich mich nicht aus, aber ich denke, die sind dafür da, dass innerliche Ruhe und Gelassenheit einkehrt und nicht um einen "nicht ausgelasteten Hund" so zu sagen ruhig zu stellen. Am besten Googelst du da noch mal nach.
Ich muss auch ehrlich gestehen, die Tage haben wir ihr Bällchen rausgeholt und ein paar Minuten im Garten damit gespielt. Natürlich nicht mit Power sondern eher ein bissel gekullert...und Wuffi war glücklich

In ca 4 Wochen kommt der Rest raus und dann noch mal 6 Wochen Leinenzwang....stöööhn......
Asnea..wie du siehst..du bist nicht alleine mit dem Problem
Halte durch !!!!! 
-
Ja geteiltes Leid ist halbes Leid

Das Problem ist ja er bekommt sein Futter bereits nur über den Tag verteilt als suchspiel oder beim clickern. Wir waren in der Stadt auf einer Bank sicher 1.5 stunden da war er auch gut beschäftigt aber daheim 1 Stunde geruht und war wieder am Nerven.
Noch mehr Kopfarbeit geht fast nicht da überdreht er teilweise wenn man zu viel Macht aber mit absoluter Ruhe kommt man auch nicht weiter. Man merkt er ist ein Pulverfass das explodieren will.
Knabbersachen hat er immer 1 Teil zur Verfügung. Interessiert ihn aber auch nur paar Minuten am Tag. Ich hab ihm sogar den Trichter geklickt er geht freiwillig rein und freut sich wenn er ihn sieht
Eine Box hat er allerdings passt der Trichter nicht gut mit rein und den muss er in Abwesenheit tragen.
Wenigstens war er nicht einmal an den Nähten und da sieht alles top aus. Wenigstens etwas.
Habe heute Abend ein Gespräch mit dem Ta wegen absetzen bzw reduzieren der Schmerzmittel und eventueller gabe von Beruhigungsmittel.Wenn das so weiter geht bin ich bald ein nervliches Elend
-
Es gibt ja als Alternative zu diesem dämlichen Plastiktrichter diesen Schaumstoff-Kragen. U.a. bei Amazon. Damit kann er auch in die Box, und wie Schwedenfan schreibt, mit Knabberspielzeug.
Wenn die Wunde verheilt ist, darf er vielleicht schon bald schwimmen. Warme Herbsttage sind noch gut geeignet.
Ihr tut mir echt leid, wie gesagt, wir hatten das auch schon mal in dem Alter, als nach der OP die Naht am Ballen aufgegangen ist und die Wunde von innen heilen musste. Da war auch mind. 4 Wochen Leinenzwang angesagt. Wir haben es überlebt. Das schafft ihr auch .
Wenn es ganz schlimm ist, kannst du ruhig mal Baldrian probieren. Damit machst du nix falsch. Haben wir auch schon gegeben, wenn Ludwig während Lottes Standhitze so gar nicht zur Ruhe kam. -
Ja ich werde nun auch so einen Kragen bestellen. Der Trichter ist einfach nur schrecklich.
Nur leinenpflicht wäre nicht mal ein Problem das hatten wir davor ja auch schon 5 Wochen. .. aber da durften wir länger laufen.
Aber nun. 3 mal 5 Minuten ist schon Heftig.Baldrian hab ich daheim von mir.jetzt bekommt halt der Hund dann auch eine.
Aber ich finde es eigenartig davor haben wir ja auch teilweise nur 30 bis 40 Minuten an der Leine verbracht beim Gassi also auch kein großes toben und trotzdem war Ruhe. Er darf ja schon seit 5 wochen nicht mehr rennen
vllt macht ihn die physio ein wenig müder mit der wir demnächst anfangen.Habe das Gefühl er testet momentan auch schon Heftig seine Grenzen. Habe ihm schon paar Mal ziemlich deutlich klar machen müssen was erlaubt ist und was nicht.

Ich hoffe das wir in 2 wochen schon länger rausdürfen dan kan man mal an der Promenade lang laufen oder ähnliches und uo einbauen
-
Meine Gatty musste mal am Ellenbogen ein Knubbel aus der Haut geschnitten werden, da war sie gerade ein Jahr alt und extrem lebhaft.
Sobald sie das Bein gestreckt hat riss die Naht auf. Erst haben wir es so heilen lassen, es schloss sich aber nicht. Dann haben wir nochmal operiert,
das Bein in einer Schlinge am Halsband hochgebunden und ich habe sie Tag und Nacht an einer kurzen Leine gehalten. Geschlafen hat sie mit
im Bett und tagsüber saßen wir nur auf dem Sofa. Für die Aktion habe ich zwei Wochen Urlaub investiert.
Gleich morgens haben wir sie mit Vetranquil ruhiggestellt damit ich wenigstens unter die Dusche konnte. Waren lange vierzehn Tage aber irgendwann
war es rum, Gatty ist heute neun Jahre alt und man sieht die Narbe nur wenn man weiß wo sie ist ...
feuerteufel -
Das hört sich auch sehr sehr unschön und stressig an .
Urlaub hab ich leider komplett genommen als wir ihn geholt haben. Aber ich arbeite in Teilzeit und hab es so eingerichtet das ich arbeite wenn mein Freund daheim ist.
Habe gestern mit dem Arzt gesprochen und er sagte Schmerzmittel sofort weg und ich darf an der Leine auch schon länger laufen solange ich merke das er nicht stärker humpelt.
immer schön steigern die Dauer. Schmerzmittel hab ich weggelassen nun und er ist deutlich ruhiger. Zwar immer noch unter Strom aber er macht langsamer. Wenn ich aber merke das er wieder mehr Schmerzen bekommt geb ich ihm natürlich wieder Schmerzmittel.Die Nacht und bis jetzt heute waren relativ entspannt.