Schäferhund - Humpeln nach Sturz

  • Danke an alle für die lieben Glückwünsche:*


    Die erste Nacht war recht ruhig und angenehm, Es wurde gefressen und heute früh kam fester Kot und ewig viel Pipi.:thumbup: Er hängt zwar rum wie ein Häufchen elend und belastet nur wenn er draußen ist aber wer kann es ihm verübeln, solch eine OP ist ja groß und nicht ohne.

    Er bewegt sich eigentlich nur wenn er die Position wechseln will und dann belastet er das Bein minimal :)

    An der Wunde wollte er einmal kurz schnuppern, ein deutliches nein hat ihn glaube ich ziemlich eingeschüchtert er hat es nicht mehr versucht seit dem :S


    Ich selber bin (zum Glück in diesem Fall) bis Ende des Jahres Krank geschrieben, so das wir beide die Tage auf dem Sofa verbringen werden :)

    Wenn die Fäden raus sind geht es in 2 Wochen dann zur Physio aufs Unterwasserlaufband


    mein Handy ist natürlich gestern noch runter gefallen und kaputt, weil es kann ja nicht sein das noch was über bleibt vom Weihnachtsgeld :D

  • Freu mich mit euch, dass Dogi alles so gut überstanden hat und sich dabei auch von seiner besten Seite gezeigt hat.
    Jetzt heisst es Geduld haben, auch wenn das nicht immer so einfach ist.
    Wünsche deinem Dogi, dass er sich rasch erholt und vor allem, dass alles gut und problemlos abheilt.


    Darf ich fragen, warum du krank bist? Hoffe, nichts Schlimmes. Sorry, bin gar nicht mehr im Bilde. Gute Besserung auch dir.

  • Ja ich bin echt froh, ich wusste allerdings bereits im Vorfeld das ich den ganzen Dezember ausfalle arbeitstechnisch und deswegen hab ich es auf den 1.12 gelegt und nicht direkt operieren lassen weil es laut Arzt keinen unterschied macht ob sofort oder erst in 3 Wochen, es war ja "nur" ein Anriss.


    Ich hab von Geburt an ein S in der Wirbelsäule (man sieht es nur am Röntgen, also ich lauf nicht schräg oder so 8o) und daraus resultierend habe ich immer wieder ziemliche HWS und allgemeine Rückenprobleme die Migräne, Schwindel, Übelkeit und dergleichen auslösen und naja die Psyche könnte auch besser sein ;)

    Wie geht es Boss?


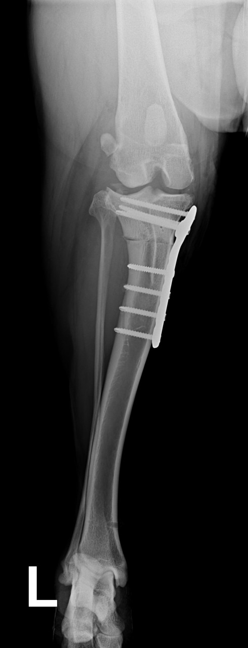
    Falls es wenn interessiert das sind die Röntgenbilder von der OP.

    Da oben wo man die kleine Ecke sieht, hat man den Schienbeinkopf zersägt und gedreht

  • Ohweia, da hat es dich aber auch feste erwischt😥 Tut mir echt leid für dich.
    Es ist so unvorstellbar, wie es sich mit so einer Beeinträchtigung lebt, wenn man selbst nicht davon betroffen ist. Klar zwickt und zwackt es mal da und dort, auch ich hatte schon einen Eingriff an der LWS, bin Gsd aber weitestgehend schmerzfrei.


    Wünsch dir weiterhin viel Kraft, lass es dir gutgehen und genießt die traute Zweisamkeit.
    Gute Besserung euch Beiden.


    Danke, Boss geht es gut.

  • Asnea: ich kann dich sehr gut verstehen - ich habe dasselbe Problem mit denselben ekligen Folgen. WEnn an der Wirbelsäule was nicht stimmt, hat der ganze Körper Freude davon<X. Dann auf jeden Fall Euch beiden gute Besserung:*. Dein Dogi macht das ja echt sehr gut:thumbup:

  • Asnea: ich kann dich sehr gut verstehen - ich habe dasselbe Problem mit denselben ekligen Folgen. WEnn an der Wirbelsäule was nicht stimmt, hat der ganze Körper Freude davon<X. Dann auf jeden Fall Euch beiden gute Besserung:*. Dein Dogi macht das ja echt sehr gut:thumbup:

    Ohje, du auch😳Auch dir viel Kraft, hoffe, du hast derzeit keine Beschwerden.

  • Oh je, ihr macht wirklich keine halben Sachen. Gute Besserung für euch beide! Rückenprobleme sind was ganz fieses, ich schick dir ganz viel Kraft. Sicher war die Anspannung vor der OP da leider auch keine Hilfe. Erholt euch gut ihr beiden!


    LG

    Babsi & Tilli

  • Danke, das ist lieb von Euch:*. Ich kann mir momentan mit den Cissuskapseln sehr gut helfen. Und wenn es arg schmerzhaft ist oder die Migräne hinzu kommt, müssen halt noch Medis mit rein:). Aber die konnte ich schon deutlich durch das Cissus reduzieren. Wieder mal ein supertoller Tip von unserer Verbena:*

    Vielleicht, Asnea, ist das auch was für dich und deinen Dogi. Ausprobieren schadet nicht. Ich nehme 2 Stück morgens, unsere Peggy derzeit auch. Es dauert gut eine Woche, bis man es richtig merkt.

  • ich trinke oft 1 Tasse Cistrosentee ich nehme mal an das ist die gleiche Pflanzenart?

    Psyche und Rücken hängen leider oft zusammen, da macht dann das eine das andere schlimmer.


    Dogis naht sieht super aus, er hat rund um das Operationsfeld keinerlei Blutergüsse oder Schwellungen :thumbup: Gute Arbeit vom Chirurgen.

    Der Herr benutzt immer öfter das operierte Bein, wenn auch vorsichtig und ist heute schon wieder deutlich zu fit :| Es ist ja gut das er Fortschritte macht, aber so wie der heute schon wieder durchstarten wollte..puuh.

    Rein will er nach den 5 Minuten Pipi auch nicht mehr so ganz schnell, er wedelt und schnuppert vor sich hin



    Was könnte man dem Hund den zur Unterstützung für den Knochenbau, die Nerven, Regeneration und dergleichen unterstützend geben? Vllt noch Alternativen oder Geheimtipps neben Arnika, Traumeel und dergleichen?

    Er zuckt ab und zu im liegen mit dem operierten Hinterbein, so vor uns zurück, das können scheinbar gereizte Nerven sein.


    Und es ist immer wieder erstaunlich wie schnell Hunde es merken wenn man es wirklich unbewusst ganz ernst meint! Er wollte vorhin aufspringen und bellend zur Tür rennen da die Post vor dem Haus geparkt hatte und normal lässt er sich davon nicht leicht abbringen aber heute war mein "Brüller" ;) scheinbar unbewusst (er darf ja keinerlei stärkere belastungen auf dem Bein haben und ich passe wie der Teufel auf) extrem einschüchternd. Er hat sich direkt hingelegt und war ruhig 8)

  • Asnea, vielleicht hat ja Verbena einen Tipp für Dich und Du fragst sie?

    Dass Dein Dogi so tolle Fortschritte macht, ist ja super erfreulich. Aber ich weiß schon, wenn es ihnen zu gut geht und sie nicht mehr aufpassen, obwohl sie das müssen, wird es für Dich anstrengend. Aber die Zeit geht auch wieder vorbei. Aber gut, dass er auf Dich hört und Deine Stimme gut zu unterscheiden weiß, wann es ernst wird:saint:

  • bei Rücken helfen gute wirklich gute Medikamente und Bewegung.

    Und damit meine ich nicht Novamin/Paracetamol und Ibu sondern Tramal und Tilidin

  • Super, dass es Dogi bereits besser geht und seine Wunde gut abheilt. Das mit dem Zucken zeigt Boss auch ab und zu, scheint aber nichts zu sein, worüber man sich Gedanken machen muss. Nagen und Leckern erlauben wir ja nicht, vielleicht ein Versuch, das lästige Jucken der Wundheilung loszuwerden.


    Unsere Wuffels wissen sehr genau, wann es ernst gemeint ist. Das glaub ich dir gerne, dass du sehr auf Dogi aufpasst, man wacht mit Argusaugen über seinen Goldschatz, damit nur ja alles gut verläuft.

  • Wenn ich jetzt auch ein bisschen spät dran bin mit meinen guten Genesungswünschen, so sollen sie Deinen tapferen Dogi doch trotzdem von ganzem Herzen erreichen.


    Um aber auch kurz auf die Frage zu antworten, ob Cissus und Cistus das Gleiche ist: Nein, die beiden Pflanzen sind nicht identisch und auch nicht verwandt. Cissus Quadrangularis gehört zu den Rebengewächsen und wird auch "das Rückrat des Teufels" genannt, weil die Pflanze wie eine Wirbelsäule geformt ist. Bei uns ist Cissus Quadrangularis wenig bekannt und wenn, dann am ehesten bei den Bodybuildern, denn das Gewächs enthält natürliche Stereoide, die Ketosterone. Die fördern den Muskelaufbau - was ja auch nach OPs interessant ist, damit die Muskulatur, die durch die Schonung des Beins weniger stark verwendet werden kann, sich nicht abbaut.


    Im indischen/asiatischen Bereich der Naturheilkunde wird Cissus vor allem für den Bewegungsapparat empfohlen. Cissus stärkt das Bindegewebe, wirkt damit positiv auf Bänder und Sehnen, aber Cissus gilt auch als wirkungsvolles Adäquat zum hier bekannten Beinwell. Wobei Beinwell eben zur innerlichen Anwendung kritisch gesehen werden muss und darum meist auch eher hömoöpathisch unter Symphytum (Symphytum officinale kommt vom griechischen „symphyo“, zu Deutsch: „ich vereinige“ - was den Hinweis liefert, dass Beinwell gebrochene Knochen im Zusammenwachsen unterstützt) als in Form der Pflanzenwurzel zur inneren Anwendung verwendet wird.


    Beim Cissus Quadrangularis ist die innerliche Anwendung problemlos möglich und das Wirkspektrum ist noch breiter, als das von Beinwell, weil es eben auch die Muskulatur positiv beeinflusst und trotzdem stärkend und heilend auf den Bewegungsapparat wirkt.


    Die Wundheilung kann man ganz wunderbar mit Drachenblutsaft unterstützen - er mindert auch den Juckreiz und wirkt nicht nur zusammenziehend, sondern auch desinfizierend und damit entzündungshemmend.


    Mein Tierheilpraktikerrat nach jeder OP wäre noch, die Narkose auszuleiten und die Darmflora wieder aufzubauen. Das ist allerdings erst dann sinnvoll, wenn die allopathischen Medikamente abgesetzt werden können, denn die Ausleitung entfernt alles aus dem Körper, was da eigentlich nicht reingehört und dazu gehören auch Schmerzmittel und Entzündungshemmer oder Antibiotika. Weil der Hund die aktuell aber noch braucht, wäre es nicht gut, jetzt mit einer Ausleitung zu beginnen, denn damit werden auch die Medikamente wirkungslos.


    Das Zucken kann eine Reizleitungsproblematik der Nerven sein, die mit der Narkose zusammenhängt. In der Regel verschwindet das von selbst wieder, wenn die Narkose vom Körper wieder abgebaut worden ist. Es gibt zwar auch Hunderassen (Malamut, Leonberger) bei denen so ein Zucken auf eine Polyneuropathie hindeuten kann, aber zum einen ist der Schäferhund dafür eher nicht prädestiniert und zum anderen tritt so ein Zucken tatsächlich häufig nach einer Narkose auf und ist damit eher harmlos.


    Für den Dogi weiterhin alles Gute und eine unkomplizierte Heilung der Wunde und eine schnelle Genesung.