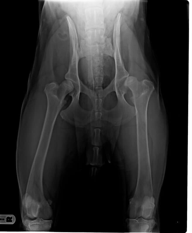
Ich vertraue nach etlichen Falschdiagnosen durch Röntgentierärzte nur noch dem Urteil von Dr. Tellhelm und einigen ganz wenigen anderen Experten. Weil es zudem auch wirklich nicht die Welt kostet. Ich könnte jetzt gar nicht aufzählen wie häufig ich es bereits erlebt habe dass er wirklich krasse Fehldiagnosen durch andere Tierärzte richtig stellen konnte. Weil er halt auch sofort erkennt wenn ein Röntgenbild technisch schlecht gemacht ist. Sei es weil die Belichtung nicht stimmt und/oder der Hund falsch gelagert wurde. Dann wird vorhandene Knochensubstanz u.U. auf dem Röntgenbild nicht richtig dargestellt. Oder der Norbergwinkel wird dadurch beeinflusst.
Muss aber halt jeder selbst wissen... Dr. Tellhelm ist halt ein Fachtierarzt für Radiologie, von denen es in Deutschland nur relativ wenige gibt (und nur eine Handvoll von denen hat sich auf Kleintiere spezialisiert; die meisten VetRadiologen sind Fachtierärzte für Pferde). Und Radiologen sind nun mal die Spezialisten im Bereich Röntgen/Röntgenauswertungen. Bei Dr. Tellhelm kommt eine wahnsinnig lange Berufserfahrung hinzu, und die explizit im Bereich der Skeletterkrankungen bei Hunden.
 
		 
		
		
	
 .
 .
 ) den Essbereich. Auch ist der Garten (oder das was noch die Hunde davon übrig gelassen haben) noch da.
) den Essbereich. Auch ist der Garten (oder das was noch die Hunde davon übrig gelassen haben) noch da.